胃镜下肿瘤切除术 胃镜下肿瘤的特征
生活中提起肿瘤,你能想到有什么治疗方案?是化疗?靶向药?还是开刀?面对消化道肿瘤,大家的第一反应是要去开刀吗?消化科医师表示:其实不用这么焦虑。伴随着当前消化内镜技术的飞快发展,现在消化科的医生利用内镜就能将肿瘤彻底搞定。患者周某就是一个很好的例子。
患者情况 / 来院详情
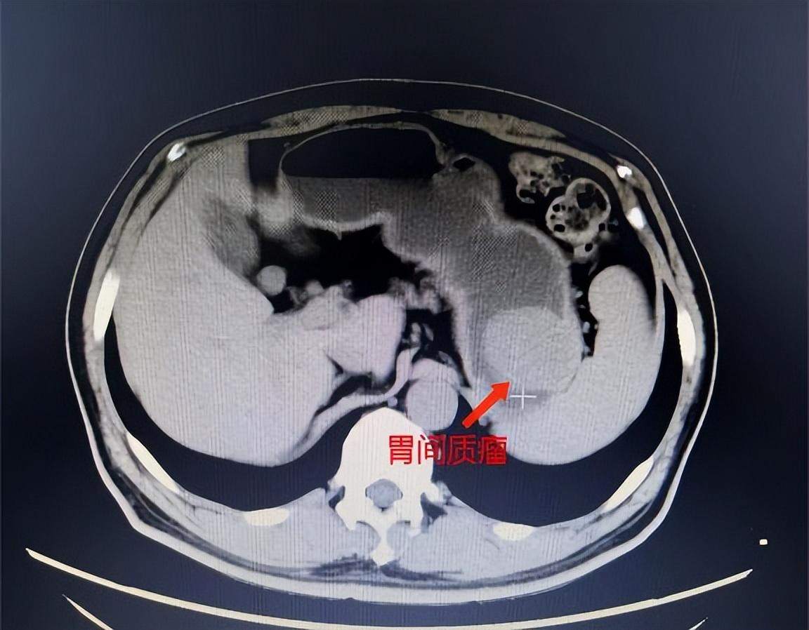
患者周某,女,49岁,1月前外院胃镜体检发现胃体长了一个约2.0×1.5cm的肿瘤,这可把她吓得不轻,急忙赶到深圳禾正医院就诊。消化内科程飞医生在看了周女士的胃镜报告后,考虑具有内镜下切除指征,建议住院进一步评估诊治。完善超声胃镜及上腹低张CT,考虑病变起源于固有肌层,胃腔内外生长,综合判断考虑很大可能是间质瘤。

图1 胃体肿瘤胃镜/超声胃镜/低张CT图片
诊疗结果 / 治疗方案
在看到检查结果后,周女士犯难了,听别人说,胃内瘤子,最好到外科做手术,才能切干净,内镜能切得了吗?了解到周女士的疑虑,禾正医院消化内科潘晓林主任告诉她,像她这种情况,完全可以在内镜下切除,不仅操作简单,风险较小,而且基本没什么损伤,做完很快就可以出院,同时向周女士一家展示了他之前内镜下切除间质瘤的多个案例。这下周女士及家人才稍微松了一口气,她表示“我从来不知道原来内镜就可以切除肿瘤呀,还不留疤也不切掉我的胃,真的是太完美了!”。经过与潘晓林主任的一番交流后,周女士一家彻底打消疑虑,果断选择了内镜下切除方案。
ESD治疗
ESD治疗(内镜黏膜下剥离术)
1月7日上午,潘晓林主任对周女士胃内肿瘤实施了内镜黏膜下剥离术(ESD),不到30分钟就顺利切下直径约2.0cm的肿瘤,术中没有出血和穿孔,术后用钛夹牢固缝合创面。
在术后禁食2天,第4天就顺利出院,目前恢复良好。术后病理提示(胃体)符合胃肠间质瘤,极低危组。根据病理结果,肿瘤完全切除干净,同时没有恶变。将结果反馈给周女士,周女士这才安下心来,同时也庆幸自己选择了内镜下切除。

图2 患者周某ESD切除胃间质瘤过程
什么是间质瘤?
胃肠道间质瘤又称为胃肠道基质瘤(GIST),主要是基因突变而造成的细胞癌化、增生,胃部发作大约占了60~70%,小肠则是20~30%,其他大肠、直肠、食道则在5%左右。但一般癌症多生长在表皮黏膜细胞,胃肠道间质瘤则生长在肌肉层,容易误诊为其他的组织肉瘤。

间质瘤如何治疗?
大部分的胃肠道基质瘤患者,是因为肿瘤已经大到出现症状、或是从肚皮上可以摸到肿瘤才发现的,肿瘤会造成出血、肚子痛、噁心呕吐、便秘或腹泻,所以治疗第一步,会以手术切除为主,先解决外在的症状。
手术结束后的治疗,则以标靶药物为主,因为化学治疗的效果非常差,又有一半的患者因为身体、肿瘤位置大小等因素不能进行切除,所以以往的存活率不高,确诊的患者治疗效果多数情况不太乐观,但随着标靶药物的出现,可以大幅提升存活率到5年。

当然,像患者周某这种情况,属于早期通过体检的手段发现癌变,而ESD为近年来兴起的内镜治疗新技术,主要针对消化道早癌和癌前病变,以及黏膜下肿瘤(比如间质瘤、平滑肌瘤、神经内分泌瘤等),通过ESD可完整地切除上述病变,达到根治的效果。同时,与外科手术相比,具有创伤小、恢复快、费用低等优点。

胃肠道间质瘤的预防
胃肠道间质瘤跟一般的胃癌不同,发病的原因不明,也并非饮食、生活习惯不良导致,目前,内镜检查是早期发现胃肠道间质瘤的有效方法,尤其是小间质瘤。早发现,早治疗,才有好预后!
























