肺结核传染性强吗 有极强的传染性,若发现人有这6个表现,要注意避让预防

肺结核是我国发病和致死人数均排行第二的传染病,我国约有5.5亿人感染了结核分枝杆菌,每年新发病的肺结核患者约有100万人,全国活动性肺结核患者约有500万人,其中具有传染性的患者超过1/4。肺结核的传播不仅给患者本人的身心带来极大的痛苦和危害,也给患者亲友和社会造成了巨大的负担和影响。

一、什么是结核病?
说到结核病,最为人所熟知的,就是肺结核。
肺结核,顾名思义就是有结核的病理组织出现在肺部,结核杆菌入侵肺脏所引起,经由X光或CT检查可以很快就能够发现,可以作为常用的筛查方法。
结核杆菌能以飞沫或空气进行传染,感染后常出现的症状是发烧、盗汗、乏力、咳嗽、消瘦等等,病人作为带菌者(开放性肺结核病人),治疗期间尽量隔离在家,减少接触人群造成感染,需养成进出公共场所严格佩戴口罩的卫生习惯。若不遵守,往往给公共防疫带来困难。

目前已有抗生素能够治疗肺结核,但许多肺结核的病人往往当症状减轻就随即停药,没有听从医师指示将完整疗程的抗生素吃完,导致体内的结核杆菌没有全部杀死,而让结核杆菌产生抗药性的问题,造成医疗与防治的困扰。
二、引起结核病的原因有哪些?
结核病就是受到结核杆菌的感染,最常见会入侵肺部,传染途径有飞沫或是空气传染两种方式:
飞沫传染:带菌的肺结核病人(或称开放性肺结核病人)常在吐痰、咳嗽、讲话、唱歌或大笑时,产生带有结核杆菌的飞沫,如果不小心吸入病人产生的飞沫,就有可能被传染。

空气传染:而当上述提到的飞沫黏在空气中的尘埃上,即使飞沫干燥后,受感染的尘埃还是具有传染力,如果不小心吸入带有尘埃的空气,就有机会被传染。
此外,易感人群:年长者、糖尿病患者、尘肺症患者、长期服用免疫抑制剂(类固醇)者、免疫机能不全者、肾脏病患者等更需注意预防。
三、结核病病患会有哪些症状?
肺结核的症状五花八门,而在初感染时可能也不会有任何症状发生,且症状的过程较慢,病况也时好时坏,而肺结核的症状大多有超过两周的咳嗽、胃口不佳、体重减轻、无故疲倦、咳血或是午后发烧等症状。

除此肺结核会有哪些并发症?
支气管扩张症:意即支气管永久性的扩张,造成呼吸道弯曲、松弛且膨大,因此稍有感染,则大量黏稠甚至化脓性分泌物,会滞留在呼吸道内不易咳出,可能会有久咳或呼吸困难等症状。气胸:肺组织由于疾病而变得脆弱,而容易破裂导致气胸。結核性脓胸:胸腔因为结核菌感染而积脓,时间一长即成为结核性脓胸。
结核病病是如何发展的呢?
潜伏期:一般而言,从受到感染到初发病灶出现,大约须4~12周;而从感染后6~12个月是病程继续进行到肺结核的最危险期,此时可能会开始出现临床上的症状。可传染期:理论上,只要痰液中有活的结核菌就可属传染期,而传染力取决于排出的结核菌数目、毒性、环境、通风程度等不同因素,此时期也可称作开放性肺结核,而当用药治疗2~3周后,传染力会大幅降低,变成非开放性肺结核。

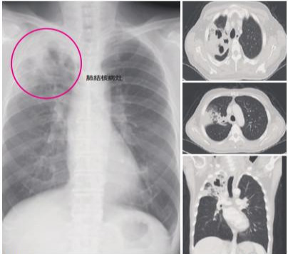
肺结核病人的CT
四、结核病要如何诊治?
肺结核的诊断
痰液结核菌抹片检查:若检验结果为阳性则表示痰液可能有结核菌,是诊断肺结核病是否具传染力的主要方法。但最后仍以痰液的培养结果,若又长出典型结核菌株,表示确定为结核菌感染。胸部X光或电脑断层:当怀疑有结核菌感染时,可用于确定病灶和侵犯的部位,但检验结果还是以痰液检查为最后诊断依据。
结核病的治疗
一般而言,肺结核的治疗需合并多种药物以避免抗药性,且需长期规律地服用药物,一般疗程约六个月到两年不等,须遵照医师指示服用,绝对不可擅自停药,若未愈前擅自停药,则可能又从非开放性肺结核恶化为开放性肺结核。

五、如何预防结核病发生?
口罩:口罩可以避免口鼻吸入病患所排出的结核病毒,是目前防范结核病毒最有效的手段之一。
分食:与病患一同用餐时,建议使用公筷或干脆分食。病患使用过的餐具用热水滚烫5分钟,再放入家庭用臭氧消毒柜消毒30min,即可杀菌。
环境空气流通:密闭的空间会助长结核菌的传染力,增加空气流通,才能减少被波及的可能,而阳光里的紫外线可以杀死结核菌。
六、感染结核病后,应该要怎样保养呢?
肺结核病患在病后应做好定期的追踪检查,并且按时服药,用药频率通常为一天服用一次,视自己的生活作息方便性在每日固定时间服用,也可请家人帮忙提醒每天是否有服药,绝不可因为自己的症状好转而擅自停药,是否停药最终仍须以医师诊断结果做依据。

最后,医生想告诉大家,其实肺结核这个病并不可怕,其实中国现在很多人都得有或者曾经得过这个病(去结核病院治疗可以看到很多人,大家也都稀疏平常,并没有因为患病就悲观)。肺结核的传染性也只在结核菌活跃的时期才有,更何况很多人接触处于传染期的患者也会因为自身的免疫系统而并不会患病。
您还有哪些健康养生方面的问题,头条关注南方健康,三甲医院医生顾问持续为您提供专业的健康知识!

#我的养生日记##清风计划# #健康早班车# #关注糖尿病# #南方健康超能团#
























